
Compassionate Care, Beautiful Results
Experience personalized dental care in a warm, welcoming environment. Our expert team combines advanced technology with gentle care to help you achieve the healthy, confident smile you deserve.
Missing teeth can affect your confidence and quality of life. Our personalized quiz helps us understand your unique needs and recommend the best dental implant solutions for you.
Takes only 3-5 minutes to complete
Start your journey to a complete, confident smile today
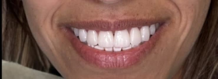
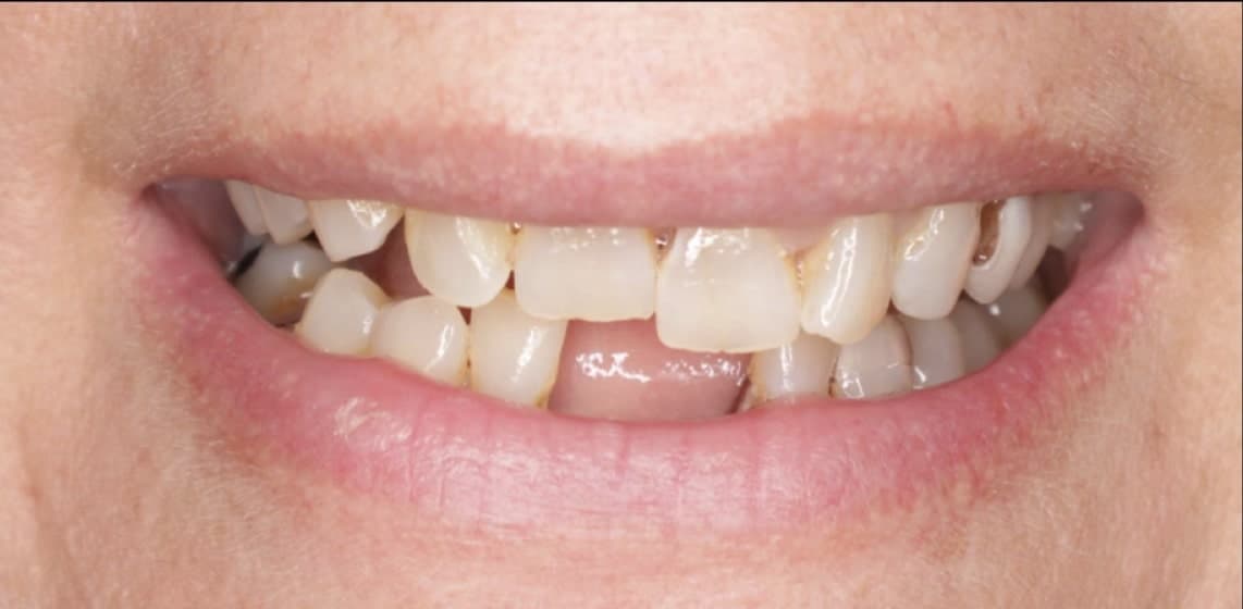
Witness the life-changing transformations we've created for our patients. Each smile tells a unique story of confidence restored and dreams realized.












Explore our complete gallery of real patients, real results. Discover the life-changing real transformations
Experienced professionals dedicated to your smile and well-being

Dr. Peter Zakhary, D.D.S.
D.D.S.
Practice Owner & General Dentist
Dr. Peter Zakhary brings a fresh perspective and unwavering dedication to dental excellence as the proud new owner of Anaheim Smile Center. A 2009 graduate of the prestigious University of the Pacific Dental School, Dr. Zakhary has spent over a decade refining his skills and building lasting relationships with patients throughout Orange County.
His philosophy centers on combining cutting-edge dental technology with genuine compassion, ensuring every patient feels heard, valued, and confident in their treatment plan. Dr. Zakhary believes that exceptional dentistry goes beyond technical skill—it requires understanding each patient's unique needs and creating personalized solutions that enhance both oral health and overall well-being.
At Anaheim Smile Center, we honor a rich tradition of compassionate care while embracing the future of modern dentistry. Under the leadership of Dr. Peter Zakhary, our practice continues the legacy established by Dr. Mona A. Fahmy over 25 years ago.
Together, our doctors combine decades of experience with the latest advancements in dental technology, ensuring every patient receives personalized, comprehensive care in a warm and welcoming environment. From preventive care to complex restorations, we're committed to helping you achieve and maintain optimal oral health.

Years of Excellence
Happy Smiles Created
Patient Satisfaction
Average Rating
Every treatment plan is tailored to your individual needs, preferences, and goals. We take time to listen and understand what matters most to you.
From digital imaging to modern treatment techniques, we invest in the latest innovations to provide precise, comfortable, and efficient care.
Our skilled professionals combine decades of expertise with ongoing training, ensuring you receive the highest standard of dental care.
With extended weekday hours and Saturday availability, we make it convenient to prioritize your oral health without disrupting your busy schedule.
From preventive care to advanced restorations, we offer a complete range of dental services tailored to your unique needs. Every treatment is delivered with precision, compassion, and a commitment to creating beautiful smiles.

Maintain optimal oral health with comprehensive dental exams, professional cleanings, and digital X-rays. Our preventive approach helps you avoid costly procedures while keeping your smile bright and healthy.

Transform your smile with our aesthetic dental solutions including porcelain veneers, professional teeth whitening, and natural-looking composite fillings. Achieve the beautiful smile you've always dreamed of.

Restore missing teeth with permanent, natural-feeling dental implants. From single tooth replacement to full arch restoration, our advanced implant solutions give you back your complete smile and chewing function.

Straighten your teeth discreetly with Invisalign clear aligners or traditional braces. Our orthodontic treatments correct misalignment, improve bite function, and create beautifully aligned smiles for all ages.

Repair and restore damaged teeth with crowns, bridges, and dentures crafted from premium materials. We rebuild your smile's strength, function, and appearance with precision and care.

Protect your gums and overall health with specialized periodontal care. We diagnose, treat, and maintain gum health to prevent tooth loss and reduce risks of systemic health issues.

Save infected or damaged teeth with gentle, pain-relieving root canal treatment. Our advanced endodontic techniques eliminate discomfort while preserving your natural tooth structure.

Expert surgical care for wisdom teeth removal, tooth extractions, and bone grafting. We prioritize your comfort with sedation options and meticulous surgical precision for optimal healing.
Our experienced team will evaluate your oral health and recommend the best treatment plan tailored to your unique needs and goals.
Real experiences from real patients. Discover why families across Anaheim trust us with their smiles.
The Smiles dentistry team is awesome. I've been coming here for the last six years. I was referred to them by a friend and it's the best place that I've ever been to do dentistry work. The staff is very knowledgeable and polite. Sometimes if I'm running late. I'll give them a call and they always work with me to accommodate me. The staff is very professional, friendly and wonderful just like family. The dentist group here are wonderful and very family/patient oriented and they work with you no matter what your budget. I wouldn't go anywhere else and I highly recommend them ⭐️⭐️⭐️⭐️⭐️
Roberto Clemente
Verified Patient
I am very pleased with the service. Every time I come in for my visits I am welcomed by everyone and staff are extremely accommodating. Dr goes into detail about my treatment and educates me on why I need to get certain treatment done. I can tell patient care is top priority here at SocalSmiles :)
Areli Lazo
Verified Patient
I've been coming here since I was a kid. Always friendly and my teeth are healthy so far. 😁
Alfredo Cuevas
Verified Patient
I just got my implants done today. I'm so happy with the results. Dr. James is very professional. And the staff very friendly thank you SoCal Smiles.
Alberto Montano
Verified Patient
I been a patient of this office since 5yrs ago. And I'm happy to be their patient. Everybody are very nice and very professional. I like The way the explain me all my treatment. I really recommend this office.
Natalie Mendoza
Verified Patient
The staff always have a great attitude! Dr. Yang always makes me feel welcomed and answers all my questions.
Dayana Horball
Verified Patient
I came in today for an exam and cleaning, and I couldn't be happier with my experience. A few weeks ago, my two kids came here and they were happy with the dentist. That gave me confidence to book my own appointment, and I'm so glad I did. The dentist and staff at SoCal Smiles are friendly, professional, and very detail-oriented. They take their time, answer every question thoroughly, and make sure you feel comfortable throughout the visit. I highly recommend SoCal Smiles to anyone looking for quality dental care!
Hue Huynh
Verified Patient
I recently visited Anaheim SoCal Smiles and was blown away by the level of care and attention from start to finish! Dr. Yang was incredibly friendly and attentive, making sure I felt comfortable and relaxed. The cleaning was not only thorough but also the most relaxing experience I've had at a dentist's office—I'm usually quite anxious, but I honestly felt so calm that I nearly dozed off, and before I knew it, we were done! The front staff also went above and beyond, calling the day before to confirm my appointment and making the scheduling process so smooth. I'll definitely be back, and I'm already planning to send my friends and family here so they, too, can have an amazing dental experience for once!
Edmund Hsu
Verified Patient
Very clean office. The staff is very attentive and knowledgeable and the dentist did a wonderful job on cleaning my teeth and very gentle.
Amy Quach
Verified Patient
I would recommend this place. Everyone is so nice and welcoming. I honestly scared of the dentist but they take me stress away with how the jokes or questions they ask. I have a good experience every time I go. Lovely people
April Tirado
Verified Patient
My dad has come to this dentist office since 2018 him and my mom but my dad has had more procedures done and he keeps coming back to this office because of the prices, work and staff which are very nice people and they are very accommodating to your schedule for your appointments, their prices are very good.
Jaziel Huerta
Verified Patient
I'm very happy with this office. I just my crowns delivery and they look great. Best office ever. Thank you dr. James and Maricely for all your help.
Veronica Vital
Verified Patient
I'm very happy to be patient of this office. Everybody are very friendly and professional. I like Marigeli & Dr. yang the way they take of the pacients. I really recommend this office.
Jose Zamora
Verified Patient
A very kind and professional staff. They work with patients with kindness and professionalism. Even when hiccups occur, they attempt reasonable solutions. The Office Manager is outstanding and will treat you like family (the ones you like anyway).
Marvin Kim
Verified Patient
I have major anxiety going to the dentist since I was a child and definitely put it off since Covid but I had a great Experience at this location. It's Very clean And staff is friendly, and Dr. Bernice is very gentle and most importantly, I didn't feel shamed. They made my experience very relaxing and easy. I'm really glad I made the call and scheduled my appointment.
Rebecca Rivera
Verified Patient
So Cal Smiles has always done the right thing for myself and my family. I would highly recommend them to take care of any dental procedures you may need. Dr Bernice is a excellent dentist and I am very satisfied with her work and highly recommend you give them a call
Joseph Hammer
Verified Patient
The Smiles dentistry team is awesome. I've been coming here for the last six years. I was referred to them by a friend and it's the best place that I've ever been to do dentistry work. The staff is very knowledgeable and polite. Sometimes if I'm running late. I'll give them a call and they always work with me to accommodate me. The staff is very professional, friendly and wonderful just like family. The dentist group here are wonderful and very family/patient oriented and they work with you no matter what your budget. I wouldn't go anywhere else and I highly recommend them ⭐️⭐️⭐️⭐️⭐️
Roberto Clemente
Verified Patient
I am very pleased with the service. Every time I come in for my visits I am welcomed by everyone and staff are extremely accommodating. Dr goes into detail about my treatment and educates me on why I need to get certain treatment done. I can tell patient care is top priority here at SocalSmiles :)
Areli Lazo
Verified Patient
I've been coming here since I was a kid. Always friendly and my teeth are healthy so far. 😁
Alfredo Cuevas
Verified Patient
I just got my implants done today. I'm so happy with the results. Dr. James is very professional. And the staff very friendly thank you SoCal Smiles.
Alberto Montano
Verified Patient
I been a patient of this office since 5yrs ago. And I'm happy to be their patient. Everybody are very nice and very professional. I like The way the explain me all my treatment. I really recommend this office.
Natalie Mendoza
Verified Patient
The staff always have a great attitude! Dr. Yang always makes me feel welcomed and answers all my questions.
Dayana Horball
Verified Patient
I came in today for an exam and cleaning, and I couldn't be happier with my experience. A few weeks ago, my two kids came here and they were happy with the dentist. That gave me confidence to book my own appointment, and I'm so glad I did. The dentist and staff at SoCal Smiles are friendly, professional, and very detail-oriented. They take their time, answer every question thoroughly, and make sure you feel comfortable throughout the visit. I highly recommend SoCal Smiles to anyone looking for quality dental care!
Hue Huynh
Verified Patient
I recently visited Anaheim SoCal Smiles and was blown away by the level of care and attention from start to finish! Dr. Yang was incredibly friendly and attentive, making sure I felt comfortable and relaxed. The cleaning was not only thorough but also the most relaxing experience I've had at a dentist's office—I'm usually quite anxious, but I honestly felt so calm that I nearly dozed off, and before I knew it, we were done! The front staff also went above and beyond, calling the day before to confirm my appointment and making the scheduling process so smooth. I'll definitely be back, and I'm already planning to send my friends and family here so they, too, can have an amazing dental experience for once!
Edmund Hsu
Verified Patient
Very clean office. The staff is very attentive and knowledgeable and the dentist did a wonderful job on cleaning my teeth and very gentle.
Amy Quach
Verified Patient
I would recommend this place. Everyone is so nice and welcoming. I honestly scared of the dentist but they take me stress away with how the jokes or questions they ask. I have a good experience every time I go. Lovely people
April Tirado
Verified Patient
My dad has come to this dentist office since 2018 him and my mom but my dad has had more procedures done and he keeps coming back to this office because of the prices, work and staff which are very nice people and they are very accommodating to your schedule for your appointments, their prices are very good.
Jaziel Huerta
Verified Patient
I'm very happy with this office. I just my crowns delivery and they look great. Best office ever. Thank you dr. James and Maricely for all your help.
Veronica Vital
Verified Patient
I'm very happy to be patient of this office. Everybody are very friendly and professional. I like Marigeli & Dr. yang the way they take of the pacients. I really recommend this office.
Jose Zamora
Verified Patient
A very kind and professional staff. They work with patients with kindness and professionalism. Even when hiccups occur, they attempt reasonable solutions. The Office Manager is outstanding and will treat you like family (the ones you like anyway).
Marvin Kim
Verified Patient
I have major anxiety going to the dentist since I was a child and definitely put it off since Covid but I had a great Experience at this location. It's Very clean And staff is friendly, and Dr. Bernice is very gentle and most importantly, I didn't feel shamed. They made my experience very relaxing and easy. I'm really glad I made the call and scheduled my appointment.
Rebecca Rivera
Verified Patient
So Cal Smiles has always done the right thing for myself and my family. I would highly recommend them to take care of any dental procedures you may need. Dr Bernice is a excellent dentist and I am very satisfied with her work and highly recommend you give them a call
Joseph Hammer
Verified Patient
The Smiles dentistry team is awesome. I've been coming here for the last six years. I was referred to them by a friend and it's the best place that I've ever been to do dentistry work. The staff is very knowledgeable and polite. Sometimes if I'm running late. I'll give them a call and they always work with me to accommodate me. The staff is very professional, friendly and wonderful just like family. The dentist group here are wonderful and very family/patient oriented and they work with you no matter what your budget. I wouldn't go anywhere else and I highly recommend them ⭐️⭐️⭐️⭐️⭐️
Roberto Clemente
Verified Patient
I am very pleased with the service. Every time I come in for my visits I am welcomed by everyone and staff are extremely accommodating. Dr goes into detail about my treatment and educates me on why I need to get certain treatment done. I can tell patient care is top priority here at SocalSmiles :)
Areli Lazo
Verified Patient
I've been coming here since I was a kid. Always friendly and my teeth are healthy so far. 😁
Alfredo Cuevas
Verified Patient
I just got my implants done today. I'm so happy with the results. Dr. James is very professional. And the staff very friendly thank you SoCal Smiles.
Alberto Montano
Verified Patient
I been a patient of this office since 5yrs ago. And I'm happy to be their patient. Everybody are very nice and very professional. I like The way the explain me all my treatment. I really recommend this office.
Natalie Mendoza
Verified Patient
The staff always have a great attitude! Dr. Yang always makes me feel welcomed and answers all my questions.
Dayana Horball
Verified Patient
I came in today for an exam and cleaning, and I couldn't be happier with my experience. A few weeks ago, my two kids came here and they were happy with the dentist. That gave me confidence to book my own appointment, and I'm so glad I did. The dentist and staff at SoCal Smiles are friendly, professional, and very detail-oriented. They take their time, answer every question thoroughly, and make sure you feel comfortable throughout the visit. I highly recommend SoCal Smiles to anyone looking for quality dental care!
Hue Huynh
Verified Patient
I recently visited Anaheim SoCal Smiles and was blown away by the level of care and attention from start to finish! Dr. Yang was incredibly friendly and attentive, making sure I felt comfortable and relaxed. The cleaning was not only thorough but also the most relaxing experience I've had at a dentist's office—I'm usually quite anxious, but I honestly felt so calm that I nearly dozed off, and before I knew it, we were done! The front staff also went above and beyond, calling the day before to confirm my appointment and making the scheduling process so smooth. I'll definitely be back, and I'm already planning to send my friends and family here so they, too, can have an amazing dental experience for once!
Edmund Hsu
Verified Patient
Very clean office. The staff is very attentive and knowledgeable and the dentist did a wonderful job on cleaning my teeth and very gentle.
Amy Quach
Verified Patient
I would recommend this place. Everyone is so nice and welcoming. I honestly scared of the dentist but they take me stress away with how the jokes or questions they ask. I have a good experience every time I go. Lovely people
April Tirado
Verified Patient
My dad has come to this dentist office since 2018 him and my mom but my dad has had more procedures done and he keeps coming back to this office because of the prices, work and staff which are very nice people and they are very accommodating to your schedule for your appointments, their prices are very good.
Jaziel Huerta
Verified Patient
I'm very happy with this office. I just my crowns delivery and they look great. Best office ever. Thank you dr. James and Maricely for all your help.
Veronica Vital
Verified Patient
I'm very happy to be patient of this office. Everybody are very friendly and professional. I like Marigeli & Dr. yang the way they take of the pacients. I really recommend this office.
Jose Zamora
Verified Patient
A very kind and professional staff. They work with patients with kindness and professionalism. Even when hiccups occur, they attempt reasonable solutions. The Office Manager is outstanding and will treat you like family (the ones you like anyway).
Marvin Kim
Verified Patient
I have major anxiety going to the dentist since I was a child and definitely put it off since Covid but I had a great Experience at this location. It's Very clean And staff is friendly, and Dr. Bernice is very gentle and most importantly, I didn't feel shamed. They made my experience very relaxing and easy. I'm really glad I made the call and scheduled my appointment.
Rebecca Rivera
Verified Patient
So Cal Smiles has always done the right thing for myself and my family. I would highly recommend them to take care of any dental procedures you may need. Dr Bernice is a excellent dentist and I am very satisfied with her work and highly recommend you give them a call
Joseph Hammer
Verified Patient
So Cal Smiles has always done the right thing for myself and my family. I would highly recommend them to take care of any dental procedures you may need. Dr Bernice is a excellent dentist and I am very satisfied with her work and highly recommend you give them a call
Joseph Hammer
Verified Patient
I have major anxiety going to the dentist since I was a child and definitely put it off since Covid but I had a great Experience at this location. It's Very clean And staff is friendly, and Dr. Bernice is very gentle and most importantly, I didn't feel shamed. They made my experience very relaxing and easy. I'm really glad I made the call and scheduled my appointment.
Rebecca Rivera
Verified Patient
A very kind and professional staff. They work with patients with kindness and professionalism. Even when hiccups occur, they attempt reasonable solutions. The Office Manager is outstanding and will treat you like family (the ones you like anyway).
Marvin Kim
Verified Patient
I'm very happy to be patient of this office. Everybody are very friendly and professional. I like Marigeli & Dr. yang the way they take of the pacients. I really recommend this office.
Jose Zamora
Verified Patient
I'm very happy with this office. I just my crowns delivery and they look great. Best office ever. Thank you dr. James and Maricely for all your help.
Veronica Vital
Verified Patient
My dad has come to this dentist office since 2018 him and my mom but my dad has had more procedures done and he keeps coming back to this office because of the prices, work and staff which are very nice people and they are very accommodating to your schedule for your appointments, their prices are very good.
Jaziel Huerta
Verified Patient
I would recommend this place. Everyone is so nice and welcoming. I honestly scared of the dentist but they take me stress away with how the jokes or questions they ask. I have a good experience every time I go. Lovely people
April Tirado
Verified Patient
Very clean office. The staff is very attentive and knowledgeable and the dentist did a wonderful job on cleaning my teeth and very gentle.
Amy Quach
Verified Patient
I recently visited Anaheim SoCal Smiles and was blown away by the level of care and attention from start to finish! Dr. Yang was incredibly friendly and attentive, making sure I felt comfortable and relaxed. The cleaning was not only thorough but also the most relaxing experience I've had at a dentist's office—I'm usually quite anxious, but I honestly felt so calm that I nearly dozed off, and before I knew it, we were done! The front staff also went above and beyond, calling the day before to confirm my appointment and making the scheduling process so smooth. I'll definitely be back, and I'm already planning to send my friends and family here so they, too, can have an amazing dental experience for once!
Edmund Hsu
Verified Patient
I came in today for an exam and cleaning, and I couldn't be happier with my experience. A few weeks ago, my two kids came here and they were happy with the dentist. That gave me confidence to book my own appointment, and I'm so glad I did. The dentist and staff at SoCal Smiles are friendly, professional, and very detail-oriented. They take their time, answer every question thoroughly, and make sure you feel comfortable throughout the visit. I highly recommend SoCal Smiles to anyone looking for quality dental care!
Hue Huynh
Verified Patient
The staff always have a great attitude! Dr. Yang always makes me feel welcomed and answers all my questions.
Dayana Horball
Verified Patient
I been a patient of this office since 5yrs ago. And I'm happy to be their patient. Everybody are very nice and very professional. I like The way the explain me all my treatment. I really recommend this office.
Natalie Mendoza
Verified Patient
I just got my implants done today. I'm so happy with the results. Dr. James is very professional. And the staff very friendly thank you SoCal Smiles.
Alberto Montano
Verified Patient
I've been coming here since I was a kid. Always friendly and my teeth are healthy so far. 😁
Alfredo Cuevas
Verified Patient
I am very pleased with the service. Every time I come in for my visits I am welcomed by everyone and staff are extremely accommodating. Dr goes into detail about my treatment and educates me on why I need to get certain treatment done. I can tell patient care is top priority here at SocalSmiles :)
Areli Lazo
Verified Patient
The Smiles dentistry team is awesome. I've been coming here for the last six years. I was referred to them by a friend and it's the best place that I've ever been to do dentistry work. The staff is very knowledgeable and polite. Sometimes if I'm running late. I'll give them a call and they always work with me to accommodate me. The staff is very professional, friendly and wonderful just like family. The dentist group here are wonderful and very family/patient oriented and they work with you no matter what your budget. I wouldn't go anywhere else and I highly recommend them ⭐️⭐️⭐️⭐️⭐️
Roberto Clemente
Verified Patient
So Cal Smiles has always done the right thing for myself and my family. I would highly recommend them to take care of any dental procedures you may need. Dr Bernice is a excellent dentist and I am very satisfied with her work and highly recommend you give them a call
Joseph Hammer
Verified Patient
I have major anxiety going to the dentist since I was a child and definitely put it off since Covid but I had a great Experience at this location. It's Very clean And staff is friendly, and Dr. Bernice is very gentle and most importantly, I didn't feel shamed. They made my experience very relaxing and easy. I'm really glad I made the call and scheduled my appointment.
Rebecca Rivera
Verified Patient
A very kind and professional staff. They work with patients with kindness and professionalism. Even when hiccups occur, they attempt reasonable solutions. The Office Manager is outstanding and will treat you like family (the ones you like anyway).
Marvin Kim
Verified Patient
I'm very happy to be patient of this office. Everybody are very friendly and professional. I like Marigeli & Dr. yang the way they take of the pacients. I really recommend this office.
Jose Zamora
Verified Patient
I'm very happy with this office. I just my crowns delivery and they look great. Best office ever. Thank you dr. James and Maricely for all your help.
Veronica Vital
Verified Patient
My dad has come to this dentist office since 2018 him and my mom but my dad has had more procedures done and he keeps coming back to this office because of the prices, work and staff which are very nice people and they are very accommodating to your schedule for your appointments, their prices are very good.
Jaziel Huerta
Verified Patient
I would recommend this place. Everyone is so nice and welcoming. I honestly scared of the dentist but they take me stress away with how the jokes or questions they ask. I have a good experience every time I go. Lovely people
April Tirado
Verified Patient
Very clean office. The staff is very attentive and knowledgeable and the dentist did a wonderful job on cleaning my teeth and very gentle.
Amy Quach
Verified Patient
I recently visited Anaheim SoCal Smiles and was blown away by the level of care and attention from start to finish! Dr. Yang was incredibly friendly and attentive, making sure I felt comfortable and relaxed. The cleaning was not only thorough but also the most relaxing experience I've had at a dentist's office—I'm usually quite anxious, but I honestly felt so calm that I nearly dozed off, and before I knew it, we were done! The front staff also went above and beyond, calling the day before to confirm my appointment and making the scheduling process so smooth. I'll definitely be back, and I'm already planning to send my friends and family here so they, too, can have an amazing dental experience for once!
Edmund Hsu
Verified Patient
I came in today for an exam and cleaning, and I couldn't be happier with my experience. A few weeks ago, my two kids came here and they were happy with the dentist. That gave me confidence to book my own appointment, and I'm so glad I did. The dentist and staff at SoCal Smiles are friendly, professional, and very detail-oriented. They take their time, answer every question thoroughly, and make sure you feel comfortable throughout the visit. I highly recommend SoCal Smiles to anyone looking for quality dental care!
Hue Huynh
Verified Patient
The staff always have a great attitude! Dr. Yang always makes me feel welcomed and answers all my questions.
Dayana Horball
Verified Patient
I been a patient of this office since 5yrs ago. And I'm happy to be their patient. Everybody are very nice and very professional. I like The way the explain me all my treatment. I really recommend this office.
Natalie Mendoza
Verified Patient
I just got my implants done today. I'm so happy with the results. Dr. James is very professional. And the staff very friendly thank you SoCal Smiles.
Alberto Montano
Verified Patient
I've been coming here since I was a kid. Always friendly and my teeth are healthy so far. 😁
Alfredo Cuevas
Verified Patient
I am very pleased with the service. Every time I come in for my visits I am welcomed by everyone and staff are extremely accommodating. Dr goes into detail about my treatment and educates me on why I need to get certain treatment done. I can tell patient care is top priority here at SocalSmiles :)
Areli Lazo
Verified Patient
The Smiles dentistry team is awesome. I've been coming here for the last six years. I was referred to them by a friend and it's the best place that I've ever been to do dentistry work. The staff is very knowledgeable and polite. Sometimes if I'm running late. I'll give them a call and they always work with me to accommodate me. The staff is very professional, friendly and wonderful just like family. The dentist group here are wonderful and very family/patient oriented and they work with you no matter what your budget. I wouldn't go anywhere else and I highly recommend them ⭐️⭐️⭐️⭐️⭐️
Roberto Clemente
Verified Patient
So Cal Smiles has always done the right thing for myself and my family. I would highly recommend them to take care of any dental procedures you may need. Dr Bernice is a excellent dentist and I am very satisfied with her work and highly recommend you give them a call
Joseph Hammer
Verified Patient
I have major anxiety going to the dentist since I was a child and definitely put it off since Covid but I had a great Experience at this location. It's Very clean And staff is friendly, and Dr. Bernice is very gentle and most importantly, I didn't feel shamed. They made my experience very relaxing and easy. I'm really glad I made the call and scheduled my appointment.
Rebecca Rivera
Verified Patient
A very kind and professional staff. They work with patients with kindness and professionalism. Even when hiccups occur, they attempt reasonable solutions. The Office Manager is outstanding and will treat you like family (the ones you like anyway).
Marvin Kim
Verified Patient
I'm very happy to be patient of this office. Everybody are very friendly and professional. I like Marigeli & Dr. yang the way they take of the pacients. I really recommend this office.
Jose Zamora
Verified Patient
I'm very happy with this office. I just my crowns delivery and they look great. Best office ever. Thank you dr. James and Maricely for all your help.
Veronica Vital
Verified Patient
My dad has come to this dentist office since 2018 him and my mom but my dad has had more procedures done and he keeps coming back to this office because of the prices, work and staff which are very nice people and they are very accommodating to your schedule for your appointments, their prices are very good.
Jaziel Huerta
Verified Patient
I would recommend this place. Everyone is so nice and welcoming. I honestly scared of the dentist but they take me stress away with how the jokes or questions they ask. I have a good experience every time I go. Lovely people
April Tirado
Verified Patient
Very clean office. The staff is very attentive and knowledgeable and the dentist did a wonderful job on cleaning my teeth and very gentle.
Amy Quach
Verified Patient
I recently visited Anaheim SoCal Smiles and was blown away by the level of care and attention from start to finish! Dr. Yang was incredibly friendly and attentive, making sure I felt comfortable and relaxed. The cleaning was not only thorough but also the most relaxing experience I've had at a dentist's office—I'm usually quite anxious, but I honestly felt so calm that I nearly dozed off, and before I knew it, we were done! The front staff also went above and beyond, calling the day before to confirm my appointment and making the scheduling process so smooth. I'll definitely be back, and I'm already planning to send my friends and family here so they, too, can have an amazing dental experience for once!
Edmund Hsu
Verified Patient
I came in today for an exam and cleaning, and I couldn't be happier with my experience. A few weeks ago, my two kids came here and they were happy with the dentist. That gave me confidence to book my own appointment, and I'm so glad I did. The dentist and staff at SoCal Smiles are friendly, professional, and very detail-oriented. They take their time, answer every question thoroughly, and make sure you feel comfortable throughout the visit. I highly recommend SoCal Smiles to anyone looking for quality dental care!
Hue Huynh
Verified Patient
The staff always have a great attitude! Dr. Yang always makes me feel welcomed and answers all my questions.
Dayana Horball
Verified Patient
I been a patient of this office since 5yrs ago. And I'm happy to be their patient. Everybody are very nice and very professional. I like The way the explain me all my treatment. I really recommend this office.
Natalie Mendoza
Verified Patient
I just got my implants done today. I'm so happy with the results. Dr. James is very professional. And the staff very friendly thank you SoCal Smiles.
Alberto Montano
Verified Patient
I've been coming here since I was a kid. Always friendly and my teeth are healthy so far. 😁
Alfredo Cuevas
Verified Patient
I am very pleased with the service. Every time I come in for my visits I am welcomed by everyone and staff are extremely accommodating. Dr goes into detail about my treatment and educates me on why I need to get certain treatment done. I can tell patient care is top priority here at SocalSmiles :)
Areli Lazo
Verified Patient
The Smiles dentistry team is awesome. I've been coming here for the last six years. I was referred to them by a friend and it's the best place that I've ever been to do dentistry work. The staff is very knowledgeable and polite. Sometimes if I'm running late. I'll give them a call and they always work with me to accommodate me. The staff is very professional, friendly and wonderful just like family. The dentist group here are wonderful and very family/patient oriented and they work with you no matter what your budget. I wouldn't go anywhere else and I highly recommend them ⭐️⭐️⭐️⭐️⭐️
Roberto Clemente
Verified Patient
Ready to transform your smile? We're here to help
Fill out the form below and we'll get back to you within 24 hours
Same-day appointments available for emergencies. Most insurance plans accepted.